
Learn which TIA symptoms make doctors order a carotid (neck artery) ultrasoundn, one-sided weakness, speech trouble, and temporary vision loss. ...more
Women ,Men &Carotid
January 30, 2026•5 min read

Your arteries can be older (or younger) than your actual age—and that gap can quietly shape your risk for high blood pressure, heart disease, and stroke. In this blog, you’ll learn what “arterial age”... ...more
Women ,Men &Carotid
January 21, 2026•4 min read

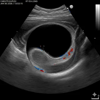
Doppler ultrasound images can look confusing at first—especially when you see bold reds and blues or a jagged “heartbeat” graph on the screen. This blog breaks it all down in plain language: what the ... ...more
Women ,Men &Carotid
January 14, 2026•5 min read

Confused about CIMT vs a regular carotid ultrasound? This blog breaks down the real difference—what each test measures, what it can (and can’t) detect, and when one makes more sense than the other. Le... ...more
Women ,Men &Carotid
December 15, 2025•5 min read

Silent strokes develop long before symptoms. Discover how CIMT ultrasound detects early artery changes so you can understand your risk and act before a stroke happens. ...more
Women ,Men &Carotid
December 12, 2025•3 min read

This blog explains why December is a smart time to do a heart and artery check, especially with holiday stress, heavy meals, and family history in the mix. It breaks down who should take their risk se... ...more
Women ,Men &Carotid
December 08, 2025•3 min read

This blog explores why arterial health is one of the most powerful predictors of longevity. Readers will learn how the arteries support every organ in the body, how arterial stiffness accelerates biol... ...more
Women ,Men &Carotid
November 21, 2025•4 min read

What does it really mean to be healthy? If you're relying solely on your weight, blood pressure, and cholesterol numbers, you might not have the full picture. The unfortunate truth is that heart disea... ...more
Women ,Men &Carotid
September 19, 2025•2 min read

Sleep apnea is more than just loud snoring or restless nights — it can put serious strain on your heart. In this post, we’ll explore how untreated sleep apnea affects cardiovascular health and why an ... ...more
Women ,Men &Carotid
September 15, 2025•3 min read